LifeLine Wisdom Dental West Footscray LifeLine Wisdom Dental West Footscray
  • About
  • Treatments
  • Mobile Dental
  • Careers
  • Contacts

Fissure Sealant

Fissure Sealant
Fissure Sealant

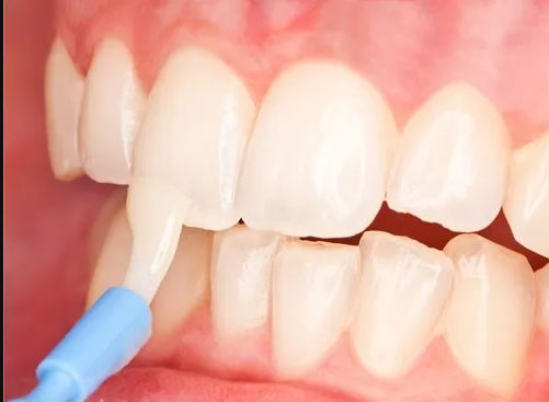
Fissure sealants are made of a plastic or resin material and are painted over the grooves of teeth to stop food and debris from getting stuck in your teeth. The stop your teeth from collecting bacteria and decaying. Visit Lifeline Wisdom Dental to find out more!

  • Protection from decay
  • Quick and easy to apply
  • Long lasting
  • Cost effective

When are fissure sealants needed?

There are many small depressions called ‘pits’ or grooves called ‘fissures’ in our teeth. Mostly present in molars and pre-molars but can also be present in the front teeth. Seeing as how these pits and fissures can collect bacteria, food and debris over time, they make it easier for plaque to form and cause decay.

Fissure sealants are a type of plastic or resin filling that are used to cover these grooves or fissures so you or your kids do not have to face bigger dental problems in the future.

Fissure sealants also make it easy to brush and clean your teeth. It is advised that you should get fissure sealants for kids as soon as their teeth erupt- at the age of 6-7 years old which is when they are most effective as well.

How long do fissure sealants last?

Fissure sealants generally last anywhere from five to ten years and are a relatively cost effect alternative and protect you from future complications.

 

What to expect at your Fissure Sealant appointment at Lifeline Wisdom Dental?

  • It is a quick and easy procedure and also a painless one. It usually just takes one appointment.
  • Your dentist will clean and prepare your tooth first. This is to ensure that all debris is removed before application.
  • Then the dentist makes sure that the surface is completely dry before applying the sealant.
  • Once applied a curing light will be used on the tooth to harden the filling.
  • Once the sealant is in place and hardened, your dentist will ask you to check if it is comfortable and does not interfere with your bite. If everything is perfect, you will go home and there is no downtime required for this procedure.

Tips to care for fissure sealants:

  • Even with sealant on your teeth, make sure to brush all the surfaces of your teeth well.
  • Use a soft toothbrush for your teeth.
  • Remember that even though your teeth are sealed, you can still get a gum infection from tartar build up near your gums.
  • Make sure to brush the sides and tops of your teeth.
LifeLine Wisdom Dental West Footscray LifeLine Wisdom Dental West Footscray
  • Home
  • About
  • FAQ
  • Careers
  • Contacts
Lifeline Wisdom Dental© 2023 | All Rights Reserved